Лечение акне угрей, прыщей лазером
#клиника_косметомедАкне (угревая болезнь) – это воспалительное заболевание кожи, которое развивается из-за гиперсекреции себума (кожного сала) сальными железами, закупорки волосяных фолликулов и избыточного развития болезнетворных бактерий. Проявляется оно комедонами (сально-эпидермальными пробками), папулезно-пустулезными прыщами, а в тяжелых случаях – узловыми инфильтративными и конглобатными прыщами.
Лечение угревой болезни предполагает комплексное воздействие, включающее в себя медикаментозную терапию и дерматокосметологические процедуры, одной из которых является лазерное воздействие.
В нашей клинике в комплексном лечении акне, а также состояний постакне – застойные пятна, рубцы, трофические нарушения, гиперкератоз – применяются три профессиональные лазерные машины:
- FOTONA SP Dynamis – воздействие неодимовым Nd:Yag - лечение и эрбиевым Er:Yag лазером – пилинги и шлифовки;
- QUANTUM Lumenis – воздействие высокоинтенсивным светом (IPL)- застойные и пигментные пятна;
- Palomar MaxG – воздействие высокоинтенсивным светом (IPL) и Palomar1540 – эрбиевый лазер для воздействия на провоспалительные элементы постакне без повреждения поверхности кожи.
Можем с гордостью сказать, что на сегодняшний день наша клиника – одна из тех немногих клиник, в которой представлен такой широкий арсенал эффективных профессиональных лазеров и методик для лечения акне и состояний постакне.

На чем основана эффективность лазера при лечении акне
При лечении акне лазером лазерное излучение избирательно поглощается пигментными образованиями кожи, а также окси-/дезоксигемоглобином изменённых сосудов, что приводит к их локальному нагреванию и деструкции. А нагревание межтканевой жидкости значительно активирует репаративные процессы в коже. Эти механизмы действия лазерных лучей активно используются при лечении угревой болезни, состояний постакне и реализуются через следующие эффекты:
-
Локальное антибактериальное действие в активной фазе угревой болезни. Главным возбудителем акне являются пропионовые бактерии. В процессе своей жизнедеятельности они синтезируют пигментное вещество под названием порфирин. При поглощении лазерного излучения, оно нагревается и образует свободные радикалы, которые приводят к гибели бактериальной флоры. Аппарат FOTONA SP Dynamis – воздействие неодимовым лазером (Nd:Yag – режим Frac 3) без повреждения поверхности кожи.

- Подавление воспалительных процессов на любой стадии угревой сыпи, даже в период обострения. Воспалительные реакции кожи при акне сопровождаются характерным симптомокомплексом, одним из проявлений которого является приток крови к пораженному участку и формирование патологически измененных сосудов, что в свою очередь поддерживает воспалительный процесс. Внешне это проявляется гиперемией – неравномерным покраснением. При воздействии на гиперемированную поверхность кожи, лазерная энергия поглощается окси-/дезоксигемоглобином – пигментами эритроцитов, что приводит к термической реакции и «запаиванию» изменённых сосудов. Острые и хронические воспалительные процессы купируются. Аппарат FOTONA SP Dynamis – воздействие неодимовым лазером (Nd:Yag – режим Versa) без повреждения поверхности кожи.
- Снижение активности сальных желез. Этот эффект реализуется за счет коагуляции сосудов, непосредственно питающих себорейные железы. Они не получают достаточного кровоснабжения и, как следствие, постепенно начинают атрофироваться. Аппарат FOTONA SP Dynamis – воздействие неодимовым лазером (Nd:Yag – режим Versa) без повреждения поверхности кожи.
- Устранение застойных и пигментных пятен постакне, улучшение цвета и качества кожи. Воздействие лазера в этом случае реализуется через принцип избирательной фототерапии. Энергия импульса высокоинтенсивного света (IPL) проникает внутрь кожи и избирательно поглощается тканями-мишенями: межтканевой жидкостью (водой) и пигментом меланином. При нагревании межтканевой жидкости усиливаются процессы воспроизведения новых клеток коллагена и эластина, что существенно улучшает качество кожи. А при нагревании пигмента происходит его термическое разрушение. Аппарат QUANTUM Lumenis + Palomar MaxG воздействие высокоинтенсивным светом (IPL) и Palomar1540 воздействие эрбиевым лзером. Все перечисленные аппараты работают без повреждения поверхности кожи.
- В абляционных режимах (лазерные шлифовки и пилинги) и в режимах без повреждения поверхности кожи лазеры используют для устранения рубцов и шрамов, которые остались после разрешения элементов сыпи. В первом случае на кожу действуют пучком лазерных микролучей, которые приводят к деструкции клеток эпидермиса, в результате чего удаляется верхний слой кожи вместе с ее повреждениями. Во втором случае, в режимах глубокой реструктуризации тканей воздействие неодимового лазера направлено на стимуляцию фибробластов и активацию репаративных процессов. Это приводит к устранению атрофии дна рубцов и улучшению качества и цвета кожи. После проведения таких процедур, поверхность кожи значительно выравнивается и приобретает здоровый вид. Аппарат FOTONA SP Dynamis – воздействие эрбиевым лазером (Er:Yag) для пилингов и шлифовок и воздействие неодимовым лазером (Nd:Yag)– для ликвидации атрофии в области рубцов и улучшения качества кожи.
Как проводится лазерное лечение акне
Для того чтобы добиться максимальных результатов, обычно используется курс лазерных процедур. Их количество и выбор конкретной лазерной технологии производится с учетом состояния кожи пациента.
Поскольку некоторые лазерные воздействия могут быть болезненными (шлифовки кожи), требуется местная анестезия. Как правило, с этой целью используется анестезирующий крем. Во время проведения процедуры лазерного лечения акне глаза пациента и врача защищены специальными очками.
Сама процедура проводится следующим образом. На кожу воздействуют лазерными импульсами с помощью специальных насадок. В это время пациент может чувствовать лёгкое жжение и тепло. При воздействии высокоинтенсивным светом возможны болезненные ощущения. Современные приборы позволяют проводить обработку кожи сразу в нескольких режимах, что позволяет добиться индивидуального подхода для работы на разных зонах лица и тела с разными проблемами.
После окончания процедуры наблюдается гиперемия и некоторая отечность кожи, которая сохраняется от нескольких часов до нескольких дней, в зависимости от применяемого аппарата, режима и глубины воздействия.
Период восстановления
В период восстановления на кожу необходимо наносить либо противовоспалительные, либо заживляющие средства – всё зависит от метода лазерного лечения акне. Их вам порекомендует врач. Кроме того, необходимо защищать кожу от воздействия ультрафиолетового излучения. Поэтому при выходе на улицу необходимо пользоваться солнцезащитными кремами.
Противопоказания
Лечение неодимовым лазером акне на лицеи на спине противопоказано в следующих случаях:
- При беременности и в период кормления грудью.
- При наличии общих заболеваний, нарушающих трофику тканей, например, сахарный диабет в стадии декомпенсации или декомпенсированная артериальная гипертензия.
- При наличии онкологических заболеваний.
- Пациентам со свежим загаром.
- При эпилепсии.
Во время приема фотосенсибилизирующих препаратов, в том числе некоторых лекарственных средств для лечения акне. Сюда относят антибиотики тетрациклинового ряда, некоторые системные ретиноиды.
Кому подходит лазерное лечение прыщей, угрей на лице и на спине
Прежде всего, следует отметить, что выбор метода лазерного воздействия при лечении акне определяется степенью тяжести угревой болезни и состоянием кожи пациента. Косметологические и аппаратные процедуры в качестве самостоятельного метода терапии акне применяются нашими врачами только в случаях нетяжёлых форм угревой болезни и отсутствием эндокринных причин заболевания. Во всех остальных случаях лечение акне лазером используют как дополнение к медикаментозному лечению.
Процедура же лазерной коррекции эстетических осложнений, которые возникли после разрешения элементов угревой сыпи — это уже самостоятельный и один из самых эффективных на сегодняшний день методов лечения состояний постакне.
Лазерные шлифовки (холодные, горячие), лазерная реструктуризация тканей эффективно выравнивают рельеф кожи, убирают атрофические шрамы и рубцы, устраняют застойные и пигментные пятна, расширенные поры и явления гиперкератоза.
По вопросам цен на лечение в Москве акне (прыщей) неодимовым лазером, а также рубцов после акне вы можете обратиться в нашу клиникуи получить консультацию врачей совершенно бесплатно.
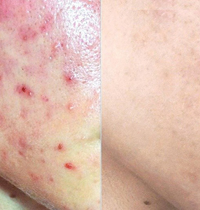
Почитайте отзывы о лазерном лечении прыщейна лице и спине, посмотрите фото до и после лечения акне, и у вас не останется сомнений в эффективности этой процедуры!




- Цены на лечение акне с применением технологий лазера Fotona Nd:Yag
-
Лечение единичного элемента800 руб
-
Лечение одной области в стадии обострения3780 руб
-
Лечение акне все лицо в стадии обострения8500 руб
-
Лечение застойных пятен и рубцов постакне - единичные элементы (до 10 штук)4200 руб
-
Лечение застойных пятен и рубцов постакне – всё лицо7200 руб
-
- Цены на лечение акне с применением технологий лазера Palomar LuxMaxG IPL
-
Лечение застойных и пигментных пятен постакне – всё лицо9800 руб
-
Лечение застойных и пигментных пятен постакне - щеки9000 руб
-
Лечение застойных и пигментных пятен постакне - лоб4560 руб
-
Лечение застойных и пигментных пятен постакне - подбородок4560 руб
-
Лечение застойных и пигментных пятен постакне - спина11000 руб
-
- Цены на процедуры с применением лазера Fotona Er:Yag
-
Полировка кожи легкая «жемчужное сияние»
-
Полировка кожи лица6000 руб
-
Холодный пилинг
-
Пилинг лица15500 руб
-
Региональный пилинг (А6/10х14см)7000 руб
-
Горячий пилинг
-
Пилинг лица21000 руб
-
Региональный пилинг (А6/10х14см)8000 руб
-
Лазерная шлифовка
-
Шлифовка лица20400 руб
-
Региональная шлифовка (А6/10х14см)7200 руб
-
Шлифовка рубца 1 см2840 руб
-
Фракционные технологии с повреждением поверхности кожи
-
Региональная фракционная обработка (А6/10х14см)4800 руб
-
Лечебная комбинированная шлифовка (тяжелая форма постакне)28150 руб
-
- Цены на процедуры с применением технологий лазера Palomar 1540 без повреждения поверхности кожи
-
Шрамы, рубцы обработка 1 см2840 руб
-
Лечение постакне область обработки 1 см21200 руб
-
Лечение постакне щеки7800 руб
-
Лечение постакне подбородок4200 руб
-
Миронова Ж.М. врач дерматовенеролог, косметолог. Стаж работы более 20 лет.
С 2017 года работает в Отделении эстетической медицины ФГБУ НМИЦ эндокринологии МЗ РФ. Профессионально владеет лазерными, инъекционными и нитевыми методиками коррекции внешности. Успешно занимается диагностикой и удалением доброкачественных новообразований кожи. Активный участник научных конференций, вебинаров, мастер классов в области эстетической медицины.